Неправильное положение зубов, деформации зубных рядов и аномалии прикуса могут серьёзно угрожать здоровью полости рта. Эти проблемы могут способствовать развитию таких заболеваний, как пародонтит, повышенный износ зубной эмали и дентина, различные дисфункции височно-нижнечелюстного сустава. Также трудности с поддержанием надлежащей гигиены ротовой полости могут привести к развитию кариеса, образованию зубного камня и воспалению десен, что в конечном итоге может вызвать пародонтит. Поскольку такие риски актуальны для всех, ВАЖНО при первых признаках подобных проблем обратиться за консультацией к врачу-ортодонту.
При правильном и своевременном лечении пациенты отмечают значительные улучшения не только в косметическом, но и в функциональном плане. Выравнивание зубов и исправление прикуса облегчают процесс жевания и улучшают дикцию, что в свою очередь влияет на общее самочувствие и уверенность в себе.
Таким образом, ортодонтическое лечение не только решает эстетические проблемы, но и играет важную роль в поддержании здоровья в целом. Инвестиции в здоровье зубов и улыбки сегодня дают долгосрочные преимущества, отражая заботу о здоровье и улучшая качество жизни на многие годы вперед.
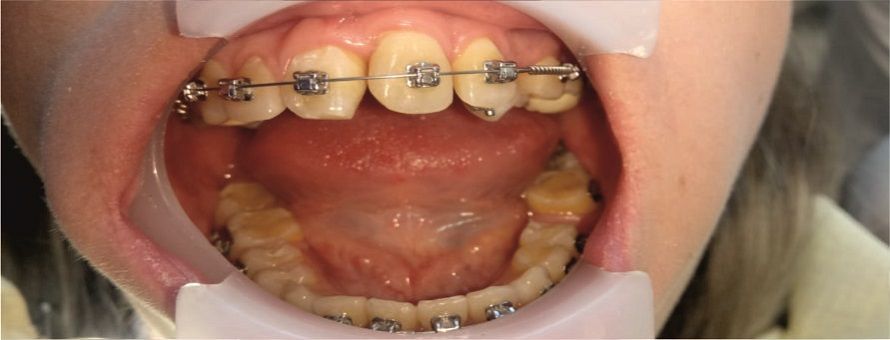
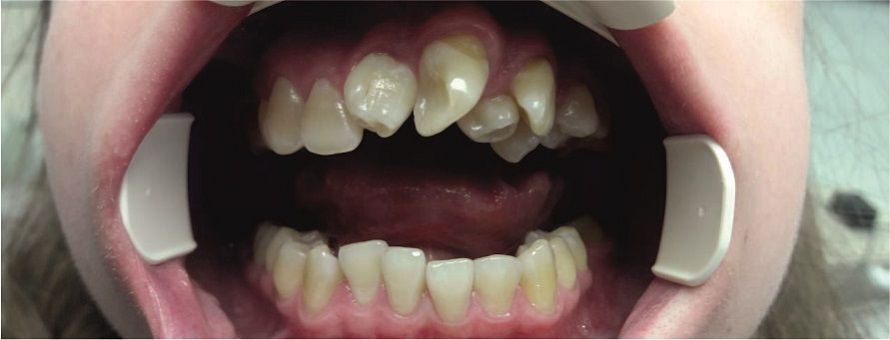
Работы наших стоматологов
Цены
*Цены действительны на момент публикации и не являются публичной офертой





